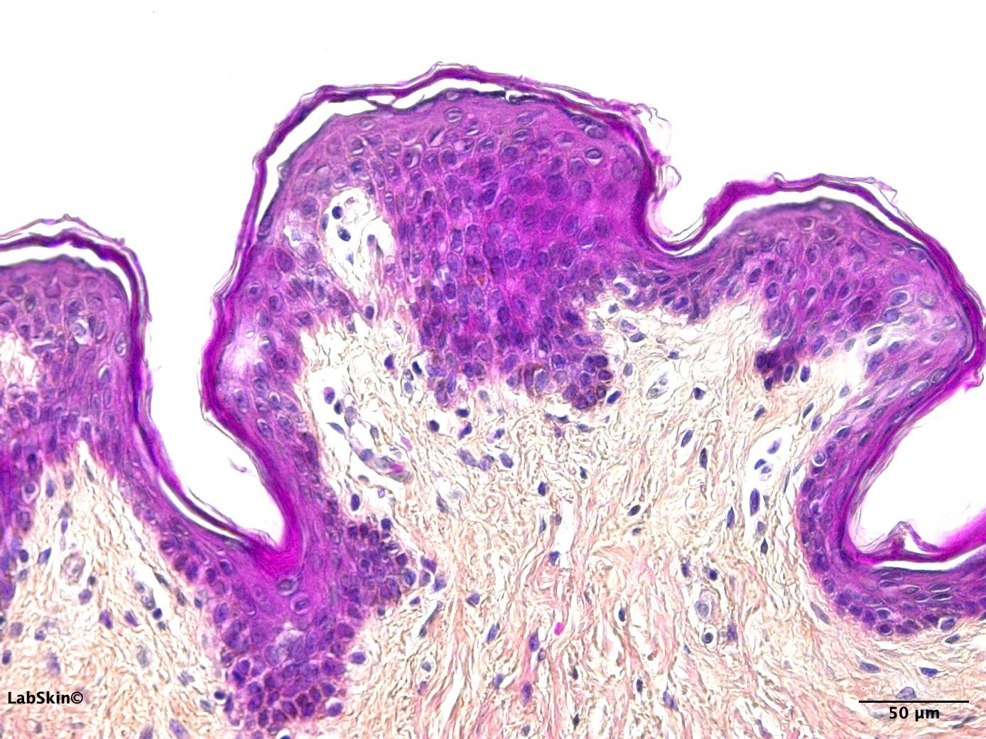
Hematoxylin Phloxin Saffron
NORMAL HUMAN SKIN
3D SKIN EQUIVALENT
Reconstructed epidermis
MASSON'S TRICHROME
NORMAL HUMAN SKIN
3D SKIN EQUIVALENT
Reconstructed epidermis
SIRIUS RED
NORMAL HUMAN SKIN
3D SKIN EQUIVALENT
Reconstructed epidermis
WARTHIN STARRY
NORMAL HUMAN SKIN
3D SKIN EQUIVALENT
