Morphology

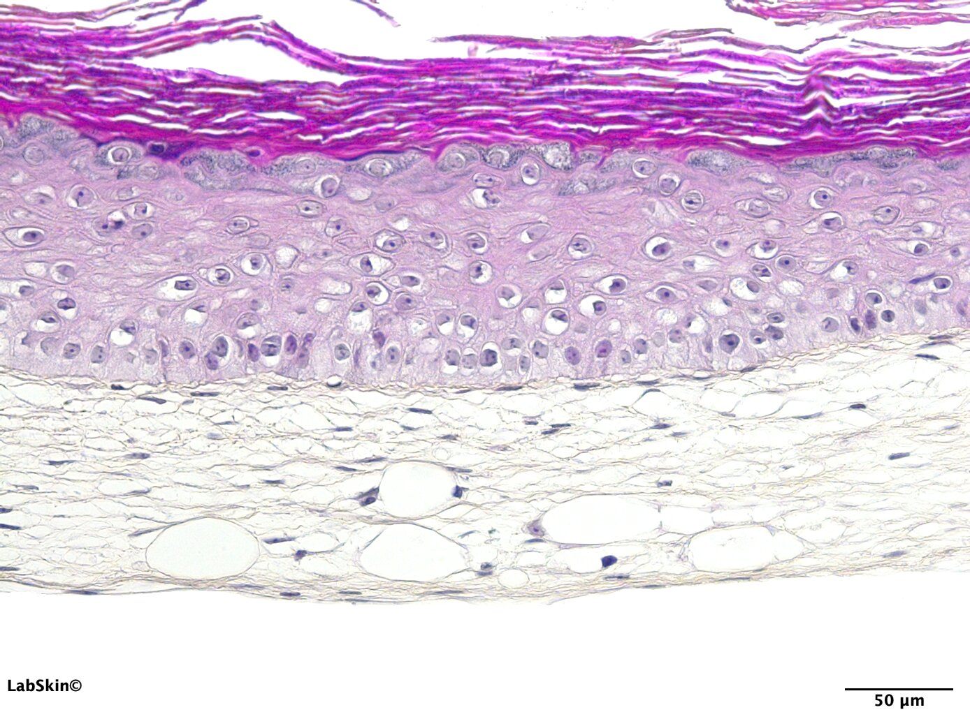
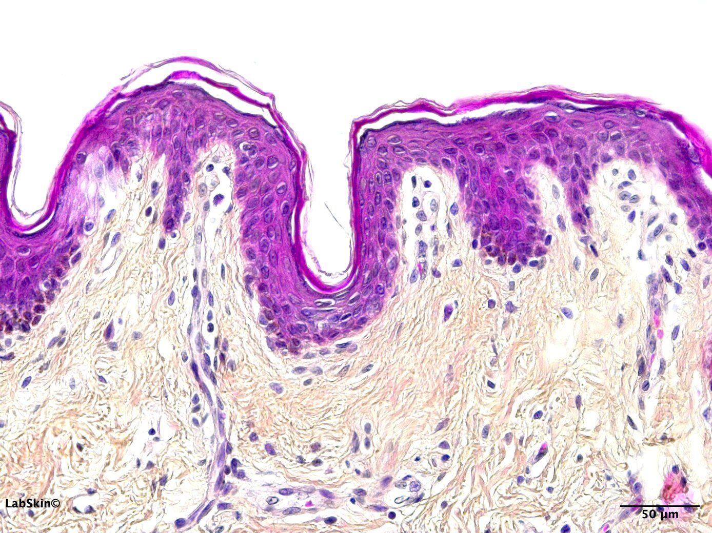
HEMATOXYLIN PHLOXIN SAFFRON


NORMAL HUMAN SKIN


3D SKIN BILAYERED EQUIVALENT


3D SKIN THREELAYERED EQUIVALENT

MARTIUS SCARLET BLUE


NORMAL HUMAN SKIN


3D SKIN BILAYERED EQUIVALENT


3D SKIN THREELAYERED EQUIVALENT

MASSON'S TRICHROME


NORMAL HUMAN SKIN


3D SKIN BILAYERED EQUIVALENT


3D SKIN THREELAYERED EQUIVALENT

SIRIUS RED


NORMAL HUMAN SKIN


3D SKIN BILAYERED EQUIVALENT


3D SKIN THREELAYERED EQUIVALENT